Sign Up To Get The Full Course Right Now!
Yes, I am ready to get started today!
* we will not spam, rent, or sell your information... *
Scopri ora se fa per te!
30 secondi per scoprire se sei idoneo...
Perché stai pensando di allineare i denti?
Mi devo Sposare
Devo iniziare un nuovo lavoro
Voglio che i miei denti siano più dritti
Vorrei avere più fiducia in me stesso
Altri motivi
Hai mai utilizzato Brackets o Aligner trasparenti in passato?
Si
No
Cosa non ti piace del tuo sorriso?
Ho troppo spazio tra i denti
Ho poco spazio tra i denti, essendo questi sovrapposti tra di loro
Ho un problema di occlusione (morso profondo, morso aperto o morso incrociato)
I miei denti non sono dritti
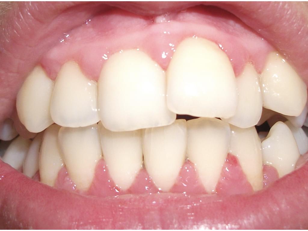
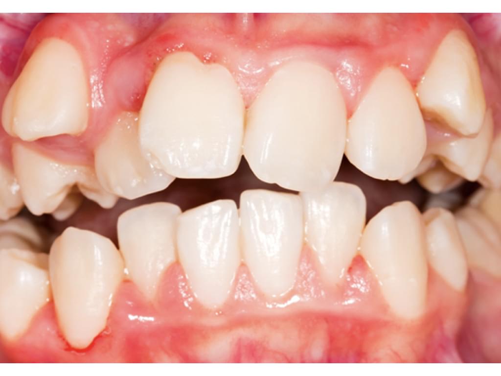
Quale delle seguenti immagini descrive meglio la situazione dei tuoi denti?
Poco affollati
Mediamente affollati
Molto affollati
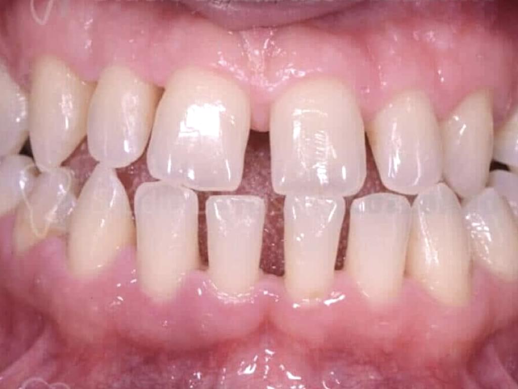
Quale delle seguenti immagini descrive meglio lo spazio tra i tuoi denti?
Poco spazio
Molto spazio
Tanto spazio
© 2021 Allineatori Secret. All Rights Reserved.
Working...